
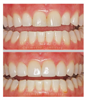
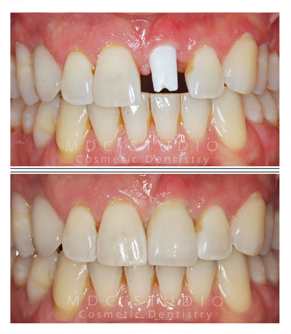
We’re able to dramatically revitalize our patients’ smiles with a full array of general, restorative and cosmetic dentistry procedures. Take a look at some of our before and after shots to see how we bring out the best in any grin.

Let’s make your dream smile a reality.